한국인 피부 색소 침착 관여 유전자 7종 발견
‘맞춤형 미백 화장품’ 개발에 커다란 진전을 가져올 수 있는 핵심적인 성과

LG생활건강(대표 차석용)이 세계 최초로 피부 색소 침착에 관여하는 유전자를 발견해 특허 출원을 완료했다.
22일 LG생활건강은 한국 여성의 대표적 피부 고민인 색소침착에 관여하는 피부 유전자 7종을 발견했다고 밝혔다.
이번 연구 결과는 피부학 분야의 세계적인 국제학술지인 ‘Journal of Investigative Dermatology’에 2건이 게재됐으며, 4건의 국내 특허와 1건의 국제 특허(PCT) 출원을 완료한 상태이다. 이는 고객들의 타고난 피부 특성에 따른 ‘맞춤형 미백 화장품’ 개발에 커다란 진전을 가져올 수 있는 핵심적인 성과라는 설명이다.
기존의 미백 화장품들은 자외선으로 인한 멜라닌 색소의 생성을 억제하거나 감소시킬 수는 있었지만, 사람의 타고난 유전자로 인한 모든 멜라닌 색소 생성은 조절하지 못하기 때문에 동일한 제품을 사용하더라도 개인의 피부 특성에 따라 색소 침착 개선 효능에 차이와 한계가 있었다.
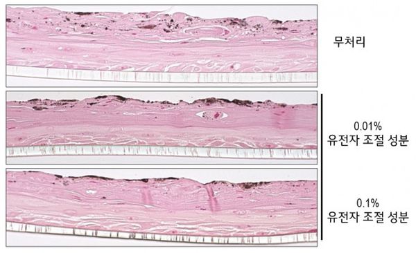
LG생활건강 미래기반연구소 연구진들은 이러한 기존 제품의 한계를 극복하기 위해 색소침착과 연관된 고객 개인별 유전자들의 종류를 확인할 수 있다면 해당 유전자의 기능을 조절할 수 있는 효능 성분의 개발을 통해 미백 효과가 탁월한 맞춤형 화장품을 고객에게 제공할 수 있다고 판단했다.
이를 위해 한국인 약 5만 명의 피부 특성과 유전자 정보로 구성된 ‘피부-유전자 빅데이터’를 확보하고 피부 색소침착 연관 유전자 발굴을 진행했다. 특히 발굴된 유전자 중 2종은 ‘세계 최초로 발견된 피부 색소침착 연관 유전자’로 한국인 피부에만 특이적으로 작용하는 유전자일 가능성이 높다는 설명이다.
현재 연구진은 발견된 유전자들의 기능을 선택적으로 조절할 수 있는 효능 성분 개발과 함께 고객 유전정보를 통해 미래의 색소침착 정도를 예측하고, 자신에게 맞는 피부 관리법을 추천하는 진단 플랫폼 개발도 병행하고 있다. 이를 통해 피부 진단부터 그에 적합한 화장품 제공으로 이어지는 토털 맞춤형 스킨케어 솔루션의 출시를 계획하고 있다.
미래기반연구소 강내규 소장은 “이번 연구 결과를 바탕으로 주름·탄력 등 대표적인 피부 노화를 타겟으로 연구 범위를 확대하고 AI를 활용한 대규모 유전자 기반의 디지털 연구 혁신을 가속함으로써 고객의 피부 특성을 초세분화하고 이에 맞춘 토털 안티에이징 솔루션 개발을 목표로 하고 있다”고 말했다.
김성호 기자 kimsh@nvp.co.kr
